肉体的/精神的負担を
「最小限」に
- 「切らない/縫わない/
腫れない」インプラント

















インプラント治療をメインで担当するドクターをご紹介します。
どのドクターも多くの経験を積み、インプラントに関する資格も保有しています。
※日本口腔インプラント学会専門医/専修医に関してはこちら
※日本口腔インプラント学会専門医に関してはこちら

当院が行うインプラント治療で、皆さんに知っていただきたい特徴があります。
患者さんの肉体的そして精神的負担を最小限に抑えるための取り組みです。
まずはこれらに関してご紹介します。

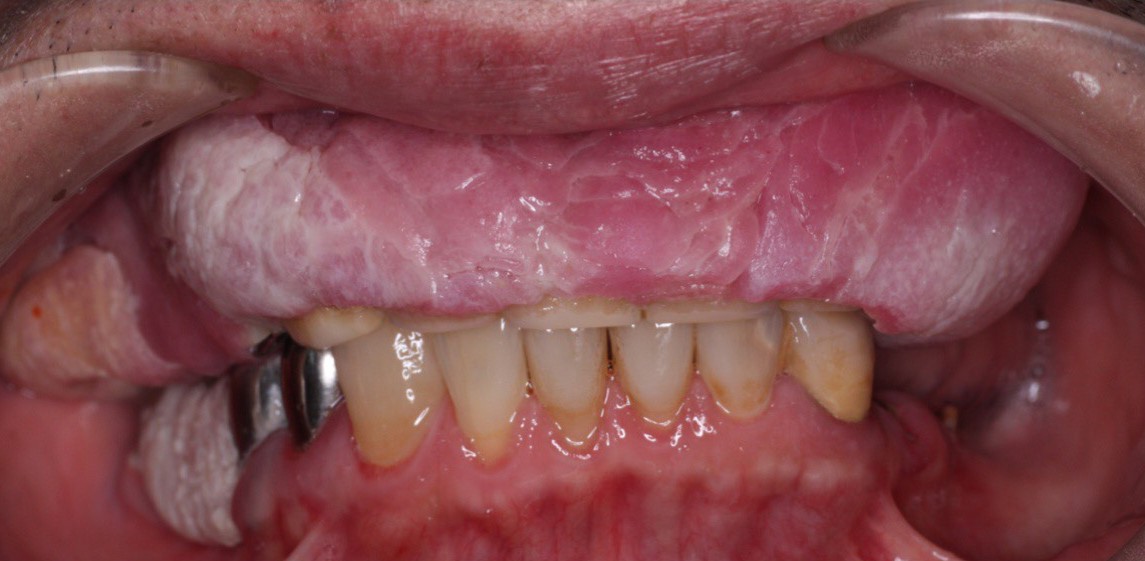
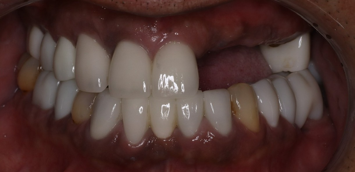
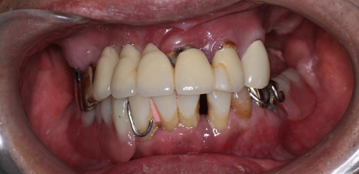
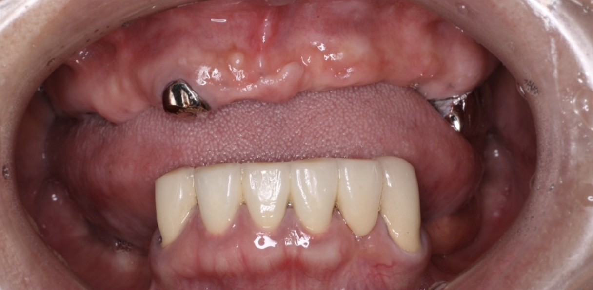
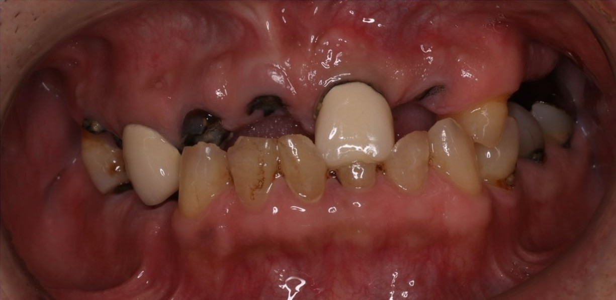
インプラント治療は外科処置となりますので、大掛かりな治療をイメージされると思います。そのようなケースもありますが、条件が整えば、親知らずの抜歯よりも負担が少ない方法で治療が可能になります。
それが「切らない/縫わない/腫れない」インプラントです。
具体的には「フラップレス(無切開)インプラント」と呼ばれる術式です。
フラップレスインプラントには、3つの代表的な手法がありますのでそれぞれご紹介します。
通常は歯肉を切開してインプラントを埋入するのですが、「歯肉パンチ」というものを利用することで、切開するのではなく、歯肉に「穴を開け」その穴にインプラントを埋入する方法があります。メスを使わないため、痛みや腫れ、出血を劇的に抑えることができ、治療後の縫合も不要で、腫れもほとんど生じません。
一般的な方法![]() |
フラップレス![]() |
|
|---|---|---|
| 歯茎の切開 | 必要 | 不要 |
| 処置後の縫合 | 必要 | 不要 |
| 痛み | ある | 少ない |
| 腫れ | ある | 少ない |
| 処置時間 | 比較的長い | 10分程度 |
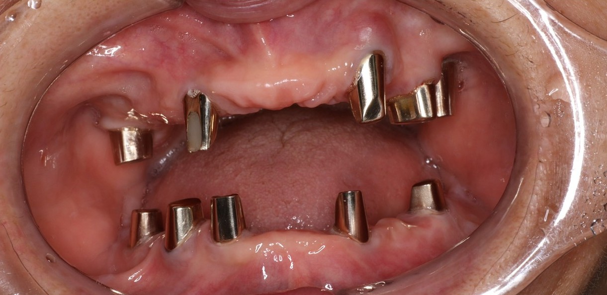
抜歯と同時にインプラントを埋入する方法です。
抜歯によりできた穴にインプラントを埋入しますので、そもそも歯肉の切開や縫合が不要となります。
また通常は抜歯後、一定期間待った後で、インプラントを埋入するのですが、その場合、顎の骨が痩せてきてしまい、追加で骨造成を行う必要があるため、追加の費用負担や治療期間が延びることがあるのですが、それを回避できることも大きなメリットになります。
またオペ当日に仮歯が入るので、歯がない期間がないこともメリットになります。
しかし、すべてのケースで対応できるわけではありません。

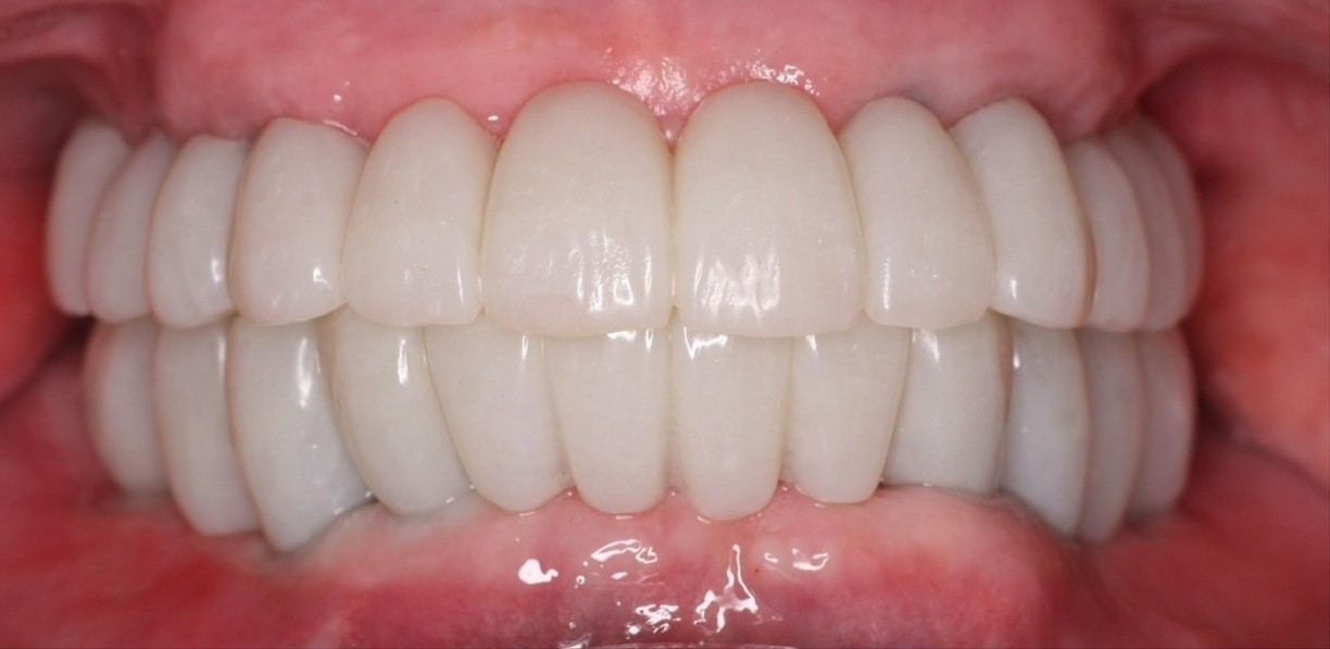
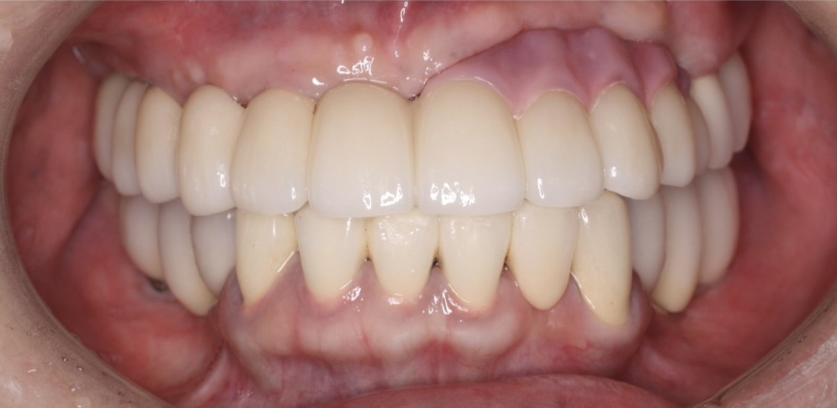
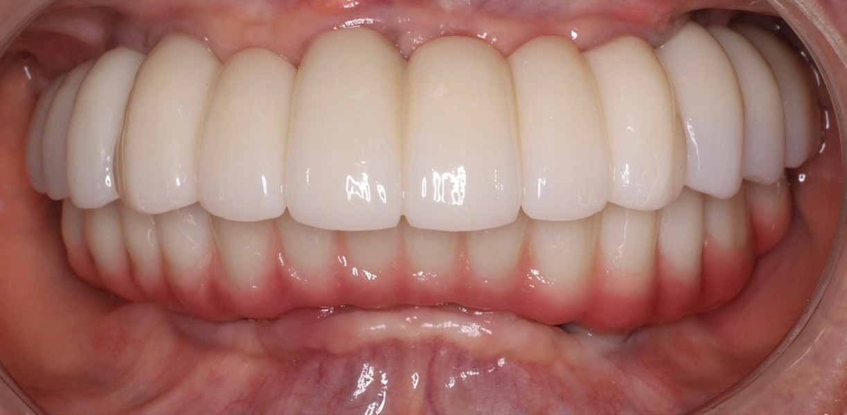
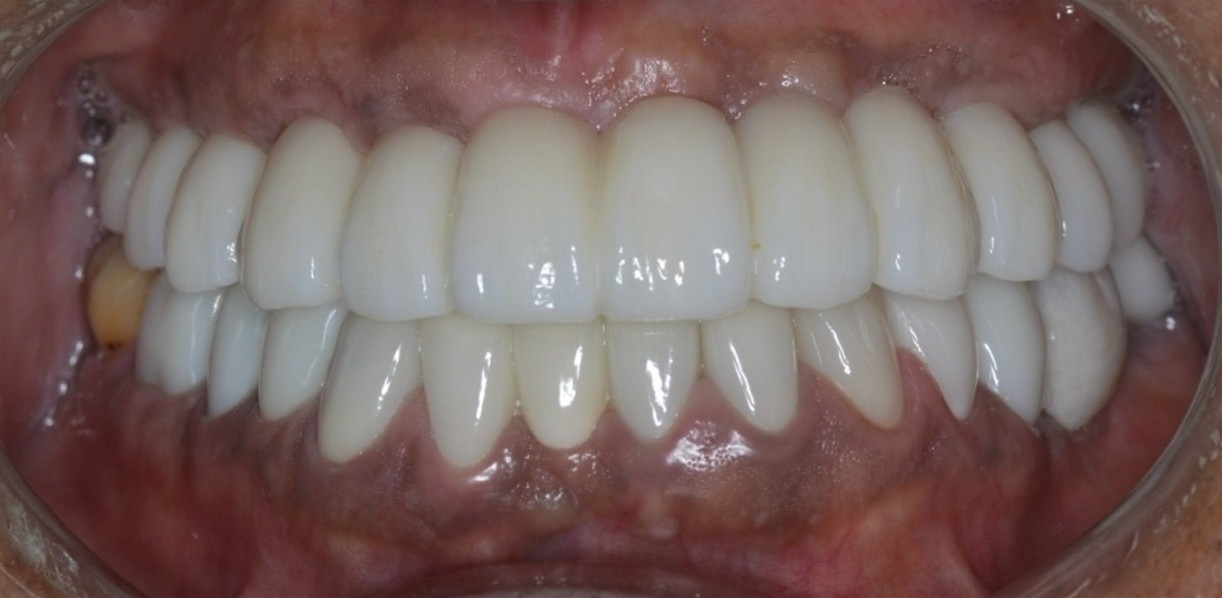
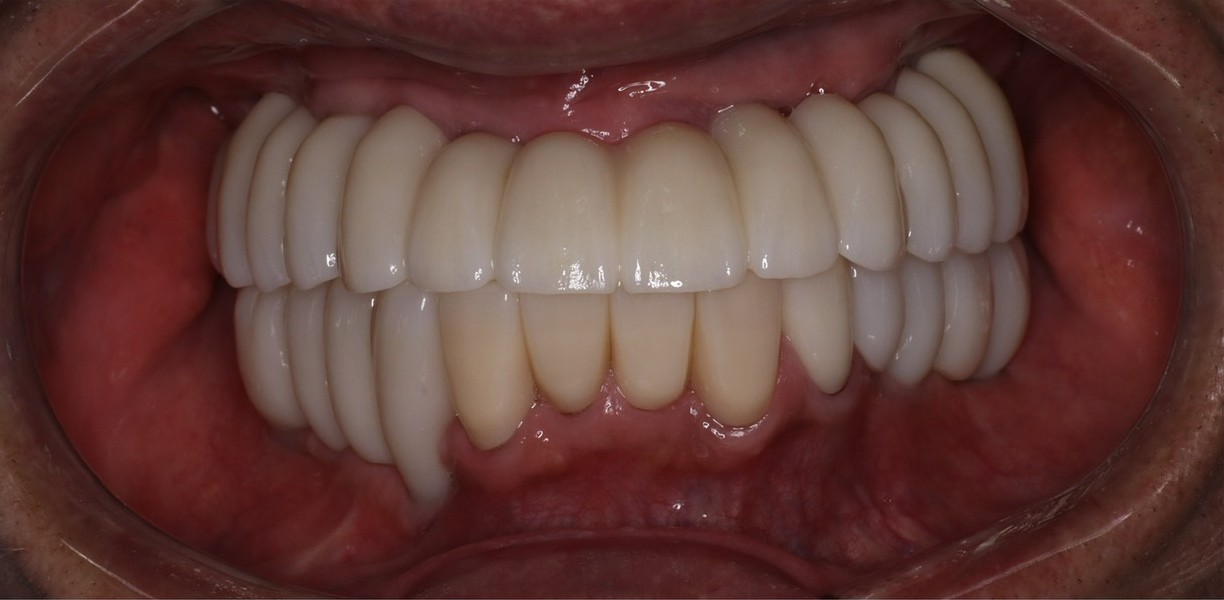
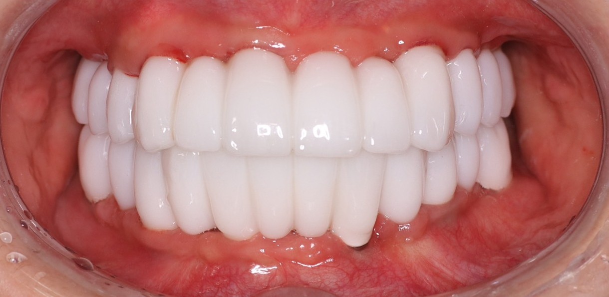
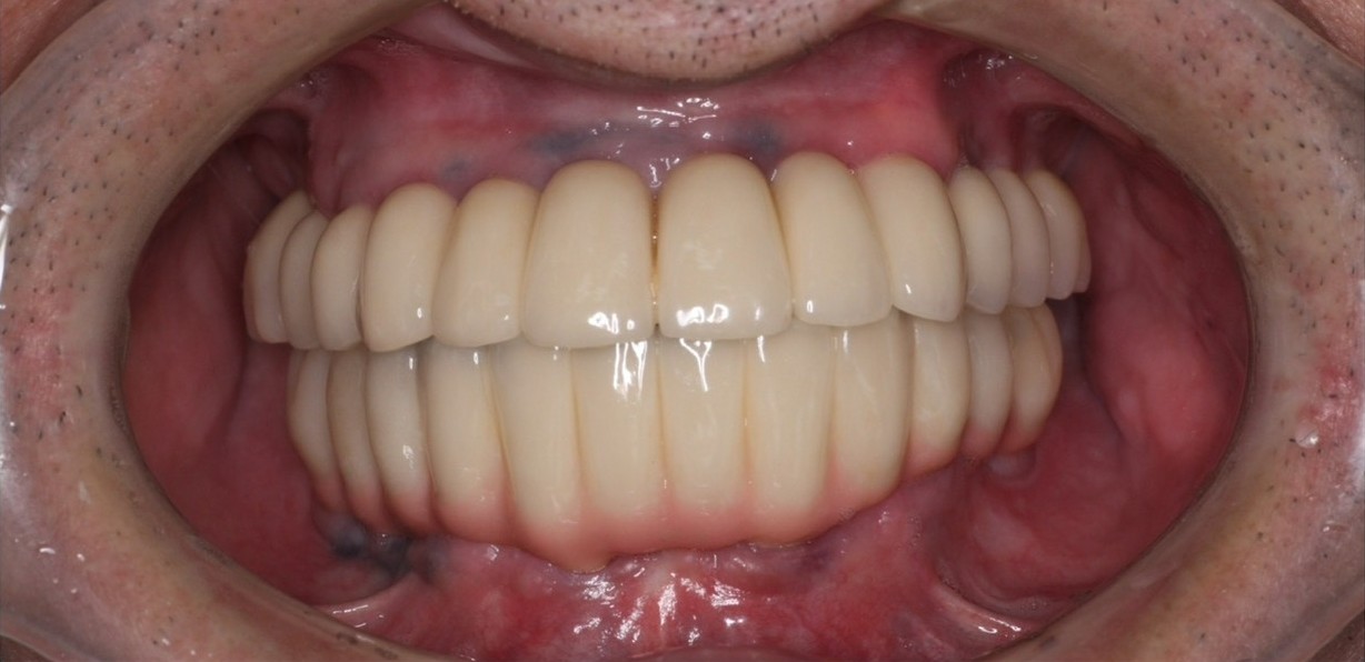
All-on-4(オールオン4)とは、4本~6本のインプラントを埋入し、全部(片顎12本)の人工歯を支える治療法です。この治療法もフラップレスなので、切らない/縫わない/腫れない治療が可能です。
また、オペ当日に歯が入ることも大きな特徴です。
次のような方にお勧めしている治療法になります。
なぜ、上記の方にお勧めしているかというと、通常の方法の場合、足りない歯の本数分のインプラントを埋入する必要があります。そうなると、費用も高額になり、かつ、治療期間もかなりのものになってしまいます。
しかし、オールオン4の場合は、4本~6本のインプラント埋入で済みますし、オペ当日に仮歯まで入れますので、治療期間も大幅に短縮されます。
以下、一般的なインプラント治療とAll-on-4との「比較」になります。


皆さんにお伝えしたい当院のインプラント体制をご紹介します。
インプラントには様々なメーカーがあり、それぞれに特徴があります。
例えば、
そして、
つまり、どのメーカーを選択するかで、予後が異なります。
当院では世界NO1のシェアを誇る「ストローマンインプラント」の他、ZIMMERインプラントを採用しています。
どれも、世界のドクターから信頼を得ているメーカーになります。
※ここにないインプラントも対応可能です。まずはご相談ください。

精度の高い治療を行うため、CTやマイクロスコープ、シミュレーションソフト等の機器を整えています。
CT撮影は必ず実施します。

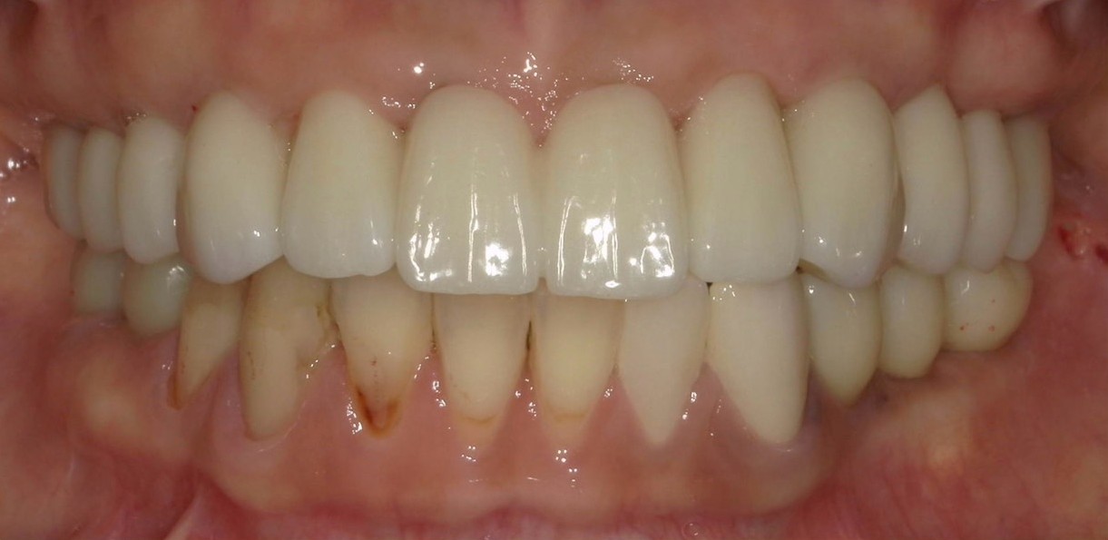
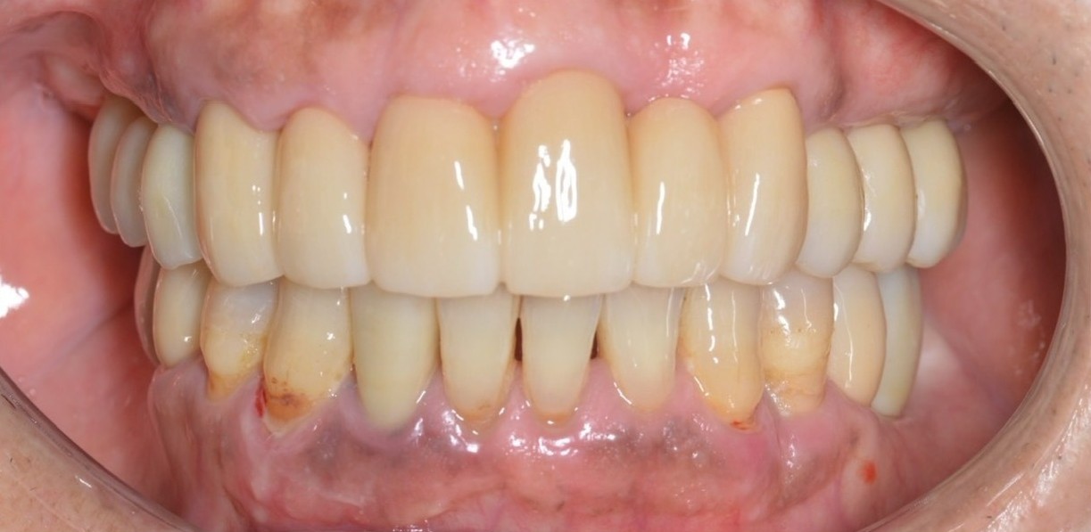
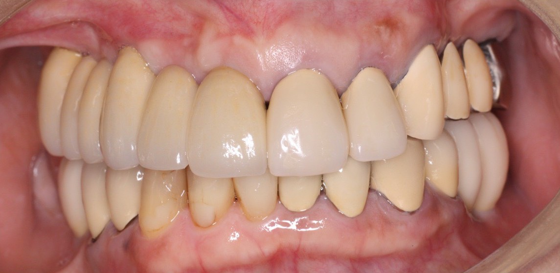
インプラントの上部構造(歯になる部分)は歯科技工士が作成します。通常、歯科技工士は歯科医院とは別の場所で独立して仕事をしていますが、当院では当院専属の歯科技工士がいますので、次のようなメリットが生まれます。

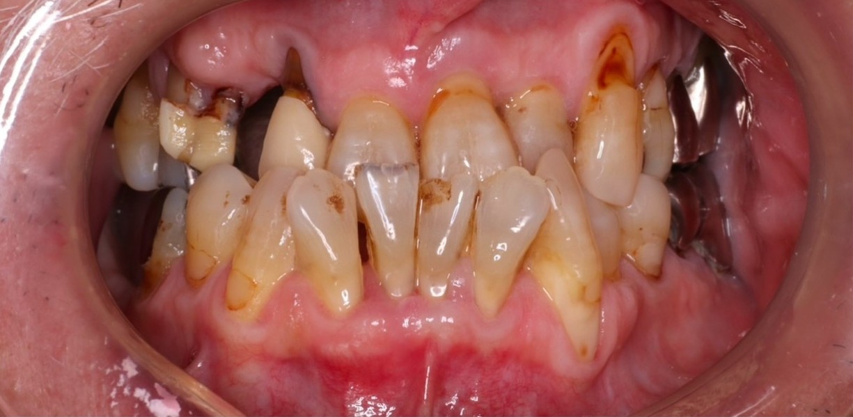
インプラントも、天然歯のように「歯周病」のような病気になります。インプラント周囲炎と言います。
そのため、治療後のメンテナンスがとても大切になります。
当院には、メンテナンスそして歯周病治療のプロである「歯科衛生士」が多数在籍しています。そして患者さんごとに決まった担当が付く「担当制」を採用しています。

担当制にすることで、患者さんのお口の状態を的確に把握でき、悪くなりそうなときはすぐに適切な処置ができる他、患者さんの生活スタイルに合わせて、様々なアドバイスが可能になります。
何事もそうですが、どの医院もしくは、どの担当医が治療を行うかで結果は大きく異なります。
そのため、質の高い治療を提供できる医院で治療を受けるべきなのですが、ネット上には様々な情報が溢れており、どの医院が良いのかを判別するのは難しい状態です。
そこで皆さんにお勧めしているのは、「直接担当医の話を聞きに行く」ことです。
つまり、担当医の「人間性」や「治療に対しての熱量」を感じに行くということです。

もちろん、それだけでは治療の質までは分かりません。
しかし、想いのあるドクターは、「患者さんに良い治療を提供したい」という想いが強く、それを実現させるための研鑽や医院設備の投資を行っている確率が非常に高いです。
当院では、無料相談を行っています。
また、セカンドオピニオン (30分) にも対応していますので、是非、お話をさせてください。
当院では、患者さんが抱えていらっしゃるお口のお悩みや疑問・不安などにお応えする機会を設けております。どんなことでも構いませんので、私たちにお話ししていただけたらと思います。
ご興味がある方は下記からお問い合わせください。
