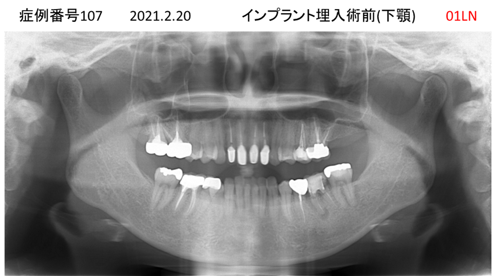
当院のインプラント治療「症例」のご紹介
全く噛めない患者様のインプラント症例
| 治療名称 |
インプラントオーバーデンチャー |
| 治療費用 |
520万円+税 |
| 治療期間 |
6か月 |
| 患者さんの症状(主訴) |
全く噛めない。何とかしてほしい |
| 治療内容 |
サイナスリフト、インプラント、義歯作製(ロケーター) |
| 治療結果 |
好きなものが食べられるようになった。見栄えがとても良くなった。 |
| 治療の注意点(リスク/副作用) |
義歯が壊れた場合、インプラントが壊れた場合は再治療が必要 |
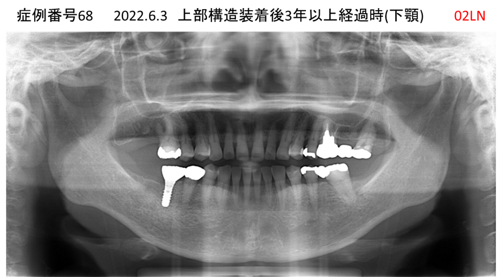
義歯が合わない、噛めない患者様のインプラント症例
| 治療名称 |
インプラントコーヌステレスコープ |
| 治療費用 |
270万円+税 |
| 治療期間 |
4か月 |
| 患者さんの症状(主訴) |
義歯が合わない、噛めない |
| 治療内容 |
インプラント、義歯作製(コーヌステレスコープ) |
| 治療結果 |
しっかり噛めるようになった。見栄えが良くなった。 |
| 治療の注意点(リスク/副作用) |
義歯が壊れた場合、インプラントが壊れた場合は再治療が必要 |
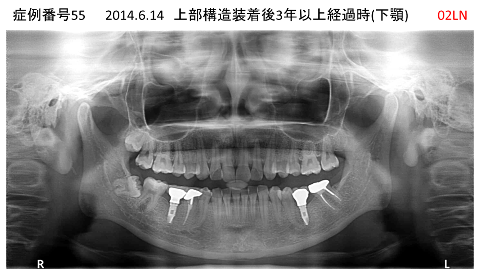
ご飯を美味しく食べたい/人前で笑えるようになりたい患者様のインプラント症例
| 治療名称 |
インプラント |
| 治療費用 |
480万円+税 |
| 治療期間 |
6か月 |
| 患者さんの症状(主訴) |
おいしいご飯が食べられるようになりたい 人前で笑えるようになりたい |
| 治療内容 |
サイナスリフト 抜歯即時インプラント |
| 治療結果 |
何でも食べられるようになった 人前で大口を開けて笑えるようになった |
| 治療の注意点(リスク/副作用) |
インプラントが壊れた場合は再治療が必要 |
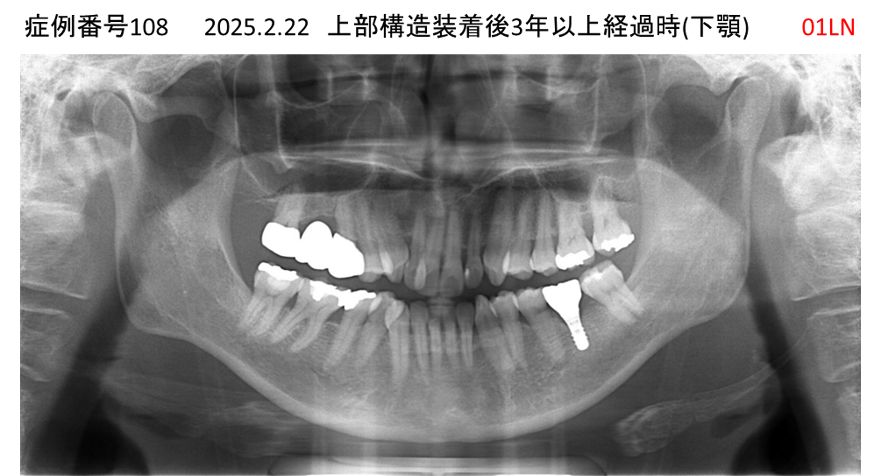
全く噛めない患者様のインプラント症例
| 治療名称 |
インプラントAGC |
| 治療費用 |
860万円+税 |
| 治療期間 |
12か月 |
| 患者さんの症状(主訴) |
全く噛めない、ごはんが後もに食べられるようになりたい、人前で口元を隠したくない |
| 治療内容 |
サイナスリフト、GBR、インプラント、AGC |
| 治療結果 |
しっかり噛めて踏ん張ることができる。食べ物をを選ばなくて済む、何でも食べられる、体重が増えた。見栄えがきれいすぎて自分じゃないみたい |
| 治療の注意点(リスク/副作用) |
インプラントが壊れたら再治療が必要 |
上の前歯が揺れていて痛い患者様のインプラント症例
| 治療名称 |
インプラント |
| 治療費用 |
295万円+税 |
| 治療期間 |
6か月 |
| 患者さんの症状(主訴) |
上の前歯が揺れていて痛い |
| 治療内容 |
抜歯即時インプラント |
| 治療結果 |
痛みがなく、しっかり噛める。 見栄えがとても良い |
| 治療の注意点(リスク/副作用) |
インプラントが壊れたら再治療が必要 |
入れ歯が合わない患者様のインプラント症例
| 治療名称 |
インプラント |
| 治療費用 |
280万円+税 |
| 治療期間 |
4か月 |
| 患者さんの症状(主訴) |
入れ歯がもう無理。つらくてつけていられない。噛めない。 |
| 治療内容 |
インプラント |
| 治療結果 |
入れ歯と違って自分の歯みたい。とても快適。入れ歯と違って、しっかり噛める。 |
| 治療の注意点(リスク/副作用) |
インプラントが壊れたら再治療が必要 |
全く噛めない患者様のインプラント症例
| 治療名称 |
インプラントAGC |
| 治療費用 |
860万円+税 |
| 治療期間 |
12か月 |
| 患者さんの症状(主訴) |
全く噛めない、ごはんが後もに食べられるようになりたい、人前で口元を隠したくない |
| 治療内容 |
サイナスリフト、GBR、インプラント、AGC |
| 治療結果 |
しっかり噛めて踏ん張ることができる。食べ物をを選ばなくて済む、何でも食べられる、体重が増えた。見栄えがきれいすぎて自分じゃないみたい |
| 治療の注意点(リスク/副作用) |
インプラントが壊れたら再治療が必要 |
上の前歯が揺れてきてかめない患者様のインプラント症例
| 治療名称 |
インプラント |
| 治療費用 |
440万円+税 |
| 治療期間 |
6か月 |
| 患者さんの症状(主訴) |
上の前歯が揺れてきた。かめない |
| 治療内容 |
サイナスリフト、GBR、インプラント、即時荷重 |
| 治療結果 |
上の前歯の揺れが収まった。奥歯でしっかり噛める。 |
| 治療の注意点(リスク/副作用) |
インプラントが壊れたら再治療が必要 |
上の前歯が揺れてきてかめない患者様のインプラント症例
| 治療名称 |
インプラント |
| 治療費用 |
335万円+税 |
| 治療期間 |
4か月 |
| 患者さんの症状(主訴) |
上の前歯が揺れてきて噛めない |
| 治療内容 |
サイナスリフト 抜歯即時インプラント |
| 治療結果 |
ちゃんと噛めるようになった。不安がなくなった。見た目がとても良くなったのすごくうれしい。 |
| 治療の注意点(リスク/副作用) |
インプラントが壊れたら再治療が必要 |
食事ができない/噛めない患者様のインプラント症例
| 治療名称 |
インプラント |
| 治療費用 |
540万円+税 |
| 治療期間 |
6か月 |
| 患者さんの症状(主訴) |
食事ができない。噛めない。上の前歯が揺れてきた。入れ歯がつらい。 |
| 治療内容 |
サイナスリフト、インプラント |
| 治療結果 |
なんでも食べられるようになった。力が入る(全身)ようになった。 |
| 治療の注意点(リスク/副作用) |
インプラントが壊れたら再治療が必要 |
かめない/上の歯が揺れてきた患者様のインプラント症例
| 治療名称 |
インプラント |
| 治療費用 |
390万円+税 |
| 治療期間 |
6か月 |
| 患者さんの症状(主訴) |
かめない。上の歯が揺れてきた。 |
| 治療内容 |
サイナスリフト、抜歯即時インプラント |
| 治療結果 |
上の歯の揺れが収まった。噛めるようになった。食事がおいしい。 |
| 治療の注意点(リスク/副作用) |
インプラントが壊れたら再治療が必要 |
固いものが食べられない患者様のインプラント症例
| 治療名称 |
インプラント |
| 治療費用 |
405万円+税 |
| 治療期間 |
7か月 |
| 患者さんの症状(主訴) |
食事がうまくできない。固いものが食べられない。 |
| 治療内容 |
サイナスリフト、抜歯即時インプラント |
| 治療結果 |
食事に困らない、友人との外食が増えた、お肉が食べられる |
| 治療の注意点(リスク/副作用) |
インプラントが壊れたら再治療が必要 |
噛めない/固いものが食べられない患者様のインプラント症例
| 治療名称 |
インプラント |
| 治療費用 |
340万円+税 |
| 治療期間 |
6か月 |
| 患者さんの症状(主訴) |
噛めない。固いものが食べられない。 |
| 治療内容 |
サイナスリフト、抜歯即時インプラント |
| 治療結果 |
何でも食べられる。食事に困らない。 |
| 治療の注意点(リスク/副作用) |
インプラントが壊れたら再治療が必要 |
上の前歯が揺れてきた患者様のインプラント症例
| 治療名称 |
インプラント |
| 治療費用 |
390万円+税 |
| 治療期間 |
6か月 |
| 患者さんの症状(主訴) |
上の前歯が揺れてきた。固いものが食べられない。 |
| 治療内容 |
サイナスリフト、抜歯即時インプラント |
| 治療結果 |
上の前歯の揺れが収まった。食べ物がおいしい。 |
| 治療の注意点(リスク/副作用) |
インプラントが壊れたら再治療が必要 |
左下の奥歯が痛い患者様のインプラント症例
| 治療名称 |
インプラント |
| 治療費用 |
215万円+税 |
| 治療期間 |
5か月 |
| 患者さんの症状(主訴) |
左下の奥歯が痛い。 |
| 治療内容 |
インプラント |
| 治療結果 |
痛み無く、噛める。 |
| 治療の注意点(リスク/副作用) |
インプラントが壊れたら再治療が必要 |
奥歯で噛めない患者様のインプラント症例
| 治療名称 |
インプラント |
| 治療費用 |
365万円+税 |
| 治療期間 |
5か月 |
| 患者さんの症状(主訴) |
奥歯で噛めない。上の前歯が揺れてきた。 |
| 治療内容 |
抜歯即時インプラント |
| 治療結果 |
食事に困らない。見た目がとても良くなった。 |
| 治療の注意点(リスク/副作用) |
インプラントが壊れたら再治療が必要 |
奥歯で噛めない患者様のインプラント症例
| 治療名称 |
インプラント |
| 治療費用 |
365万円+税 |
| 治療期間 |
5か月 |
| 患者さんの症状(主訴) |
奥歯で噛めない。上の前歯が揺れてきた。 |
| 治療内容 |
抜歯即時インプラント |
| 治療結果 |
食事に困らない。見た目がとても良くなった。 |
| 治療の注意点(リスク/副作用) |
インプラントが壊れたら再治療が必要 |
左下の歯が痛い患者様のインプラント症例
| 治療名称 |
インプラント |
| 治療費用 |
330万円+税 |
| 治療期間 |
4か月 |
| 患者さんの症状(主訴) |
左下の歯が痛い |
| 治療内容 |
サイナスリフト 抜歯即時インプラント |
| 治療結果 |
食事に困らない。見た目がとても良くなった。 |
| 治療の注意点(リスク/副作用) |
インプラントが壊れたら再治療が必要 |
揺れている歯が多くて噛めない患者様のインプラント症例
| 治療名称 |
インプラント |
| 治療費用 |
440万円+税 |
| 治療期間 |
8か月 |
| 患者さんの症状(主訴) |
上の歯をはじめ、揺れている歯が多くて噛めない。食事ができない。 |
| 治療内容 |
サイナスリフト 抜歯即時インプラント |
| 治療結果 |
食事に困らない。見た目がとても良くなった。 |
| 治療の注意点(リスク/副作用) |
インプラントが壊れたら再治療が必要 |
上の前歯がおかしな方向になった患者様のインプラント症例
| 治療名称 |
インプラント |
| 治療費用 |
235万円+税 |
| 治療期間 |
5か月 |
| 患者さんの症状(主訴) |
上の前歯がおかしな方向になった。全く噛めず、最近は食事もまるのみ状態。 |
| 治療内容 |
サイナスリフト インプラント |
| 治療結果 |
見た目がとても良くなった。ご飯が何でも食べることがうれしい。 |
| 治療の注意点(リスク/副作用) |
インプラントが壊れたら再治療が必要 |
奥歯で噛めない患者様のインプラント症例
| 治療名称 |
インプラント |
| 治療費用 |
200万円+税 |
| 治療期間 |
4か月 |
| 患者さんの症状(主訴) |
奥歯で噛めない。 |
| 治療内容 |
インプラント |
| 治療結果 |
固いものもしっかり噛める。見た目がとても良くなった。 |
| 治療の注意点(リスク/副作用) |
インプラントが壊れたら再治療が必要 |
奥歯で噛めない患者様のインプラント症例
| 治療名称 |
インプラント |
| 治療費用 |
150万円+税 |
| 治療期間 |
3か月 |
| 患者さんの症状(主訴) |
奥歯で噛めない。食事がとれない。 |
| 治療内容 |
インプラント |
| 治療結果 |
食事に困らない。何でも食べられる。 |
| 治療の注意点(リスク/副作用) |
インプラントが壊れたら再治療が必要 |
右下の歯が時々痛い患者様のインプラント症例
| 治療名称 |
インプラント |
| 治療費用 |
300万円+税 |
| 治療期間 |
5か月 |
| 患者さんの症状(主訴) |
全体的にしっかり治療しないとまずいと思っている。右下の歯が時々痛い。 |
| 治療内容 |
抜歯即時インプラント |
| 治療結果 |
固いものやお肉なんかの噛み応えがあるものがしっかり噛めるのでうれしい。 |
| 治療の注意点(リスク/副作用) |
インプラントが壊れたら再治療が必要 |
右下の歯が時々痛い患者様のインプラント症例
| 治療名称 |
インプラント |
| 治療費用 |
300万円+税 |
| 治療期間 |
5か月 |
| 患者さんの症状(主訴) |
全体的にしっかり治療しないとまずいと思っている。右下の歯が時々痛い。 |
| 治療内容 |
抜歯即時インプラント |
| 治療結果 |
固いものやお肉なんかの噛み応えがあるものがしっかり噛めるのでうれしい。 |
| 治療の注意点(リスク/副作用) |
インプラントが壊れたら再治療が必要 |
奥歯で噛めない患者様のインプラント症例
| 治療名称 |
インプラント |
| 治療費用 |
250万円+税 |
| 治療期間 |
5か月 |
| 患者さんの症状(主訴) |
奥歯で噛めない。 |
| 治療内容 |
ソケットリフト 抜歯即時インプラント |
| 治療結果 |
何でも噛めるのでやってよかった。 |
| 治療の注意点(リスク/副作用) |
インプラントが壊れたら再治療が必要 |
上の前歯が揺れている患者様のインプラント症例
| 治療名称 |
インプラント |
| 治療費用 |
130万円+税 |
| 治療期間 |
4か月 |
| 患者さんの症状(主訴) |
上の前歯が揺れているので何とかしてほしい。 |
| 治療内容 |
抜歯即時インプラント |
| 治療結果 |
見た目も歯の揺れもなく、とても快適。 |
| 治療の注意点(リスク/副作用) |
インプラントが壊れたら再治療が必要 |
上の前歯が揺れている患者様のインプラント症例
| 治療名称 |
インプラント |
| 治療費用 |
130万円+税 |
| 治療期間 |
4か月 |
| 患者さんの症状(主訴) |
上の前歯が揺れているので何とかしてほしい。 |
| 治療内容 |
抜歯即時インプラント |
| 治療結果 |
見た目も歯の揺れもなく、とても快適。 |
| 治療の注意点(リスク/副作用) |
インプラントが壊れたら再治療が必要 |
ブリッジの下に物が詰まってしようがない患者様のインプラント症例
| 治療名称 |
インプラント |
| 治療費用 |
200万円+税 |
| 治療期間 |
3か月 |
| 患者さんの症状(主訴) |
ブリッジの下に物が詰まってしようがない。 |
| 治療内容 |
インプラント |
| 治療結果 |
お手入れが快適になった。口臭がしなくなった気がする。 |
| 治療の注意点(リスク/副作用) |
インプラントが壊れたら再治療が必要 |
右上の歯が揺れている患者様のインプラント症例
| 治療名称 |
インプラントAGC |
| 治療費用 |
185万円+税 |
| 治療期間 |
5か月 |
| 患者さんの症状(主訴) |
右上の歯が揺れている。痛い。 |
| 治療内容 |
サイナスリフト 抜歯即時インプラント AGC |
| 治療結果 |
何でも食べられるのでとてもいい。できるだけ歯を残してくれてありがたい。 |
| 治療の注意点(リスク/副作用) |
インプラントが壊れたら再治療が必要 |
左下の歯が痛い患者様のインプラント症例
| 治療名称 |
インプラント |
| 治療費用 |
150万円+税 |
| 治療期間 |
6か月 |
| 患者さんの症状(主訴) |
左下の歯が痛い。噛めない。 |
| 治療内容 |
GBR、抜歯即時インプラント |
| 治療結果 |
左下でかめるので食事に困らない。見た目も良く作っていただいて感謝している。 |
| 治療の注意点(リスク/副作用) |
インプラントが壊れたら再治療が必要 |
右上の歯が痛い患者様のインプラント症例
| 治療名称 |
インプラント |
| 治療費用 |
190万円+税 |
| 治療期間 |
5か月 |
| 患者さんの症状(主訴) |
右上の歯が痛い。 |
| 治療内容 |
抜歯即時インプラント |
| 治療結果 |
以前と変わらず食事ができるので良かった。 |
| 治療の注意点(リスク/副作用) |
インプラントが壊れたら再治療が必要 |
前の歯医者で歯をいっぱい抜かれてしまった患者様のインプラント症例
| 治療名称 |
インプラント |
| 治療費用 |
270万円+税 |
| 治療期間 |
6か月 |
| 患者さんの症状(主訴) |
前の歯医者で歯をいっぱい抜かれてしまった。インプラントをいっぱいやっているところにかかりたかった |
| 治療内容 |
サイナスリフト 抜歯即時インプラント |
| 治療結果 |
特に違和感なく使えている。歯があったときと同じように噛める。 |
| 治療の注意点(リスク/副作用) |
インプラントが壊れたら再治療が必要 |
上の前歯が揺れてきた患者様のインプラント症例
| 治療名称 |
インプラント |
| 治療費用 |
440万円+税 |
| 治療期間 |
6か月 |
| 患者さんの症状(主訴) |
上の前歯が揺れてきた。かめない |
| 治療内容 |
サイナスリフト、GBR、インプラント、即時荷重 |
| 治療結果 |
上の前歯の揺れが収まった。奥歯でしっかり噛める。 |
| 治療の注意点(リスク/副作用) |
インプラントが壊れたら再治療が必要 |
揺れている歯が多くて噛めない患者様のインプラント症例
| 治療名称 |
インプラント |
| 治療費用 |
440万円+税 |
| 治療期間 |
8か月 |
| 患者さんの症状(主訴) |
上の歯をはじめ、揺れている歯が多くて噛めない。食事ができない。 |
| 治療内容 |
サイナスリフト 抜歯即時インプラント |
| 治療結果 |
食事に困らない。見た目がとても良くなった。 |
| 治療の注意点(リスク/副作用) |
インプラントが壊れたら再治療が必要 |
歯茎がいつもジュクジュクしている患者様のインプラント症例
| 治療名称 |
インプラント |
| 治療費用 |
270万円+税 |
| 治療期間 |
6か月 |
| 患者さんの症状(主訴) |
右下の歯の歯茎がいつもジュクジュクしている。 |
| 治療内容 |
サイナスリフト インプラント |
| 治療結果 |
歯茎もインプラント治療してから調子がいい。 |
| 治療の注意点(リスク/副作用) |
インプラントが壊れたら再治療が必要 |
歯がないところに歯を入れてほしい患者様のインプラント症例
| 治療名称 |
インプラント |
| 治療費用 |
100万円+税 |
| 治療期間 |
3か月 |
| 患者さんの症状(主訴) |
歯がないところに歯を入れてほしい。 |
| 治療内容 |
インプラント |
| 治療結果 |
自分の歯みたい。違和感がまるでない。 |
| 治療の注意点(リスク/副作用) |
インプラントが壊れたら再治療が必要 |
上の前歯がおかしな方向になった患者様のインプラント症例
| 治療名称 |
インプラント |
| 治療費用 |
235万円+税 |
| 治療期間 |
5か月 |
| 患者さんの症状(主訴) |
上の前歯がおかしな方向になった。全く噛めず、最近は食事もまるのみ状態。 |
| 治療内容 |
サイナスリフト インプラント |
| 治療結果 |
見た目がとても良くなった。ご飯が何でも食べることがうれしい。 |
| 治療の注意点(リスク/副作用) |
インプラントが壊れたら再治療が必要 |
上の前歯がぐらついている患者様のインプラント症例
| 治療名称 |
インプラント |
| 治療費用 |
116万円+税 |
| 治療期間 |
5か月 |
| 患者さんの症状(主訴) |
上の前歯がぐらついている。 |
| 治療内容 |
抜歯即時インプラント |
| 治療結果 |
見た目がとても良くなった。ご飯が何でも食べることがうれしい。 |
| 治療の注意点(リスク/副作用) |
インプラントが壊れたら再治療が必要 |
左上の歯が痛い患者様のインプラント症例
| 治療名称 |
インプラント |
| 治療費用 |
53万円+税 |
| 治療期間 |
3か月 |
| 患者さんの症状(主訴) |
左上の歯が痛い。 |
| 治療内容 |
抜歯即時インプラント |
| 治療結果 |
自分の歯と区別がつかない。しっかり噛める。 |
| 治療の注意点(リスク/副作用) |
インプラントが壊れたら再治療が必要 |
歯が割れた患者様のインプラント症例
| 治療名称 |
インプラント |
| 治療費用 |
144万円+税 |
| 治療期間 |
3か月 |
| 患者さんの症状(主訴) |
歯が割れた。 |
| 治療内容 |
抜歯即時インプラント |
| 治療結果 |
見た目がとてもきれい。問題なく何でも食べられる。 |
| 治療の注意点(リスク/副作用) |
インプラントが壊れたら再治療が必要 |
歯がないところに歯を入れてほしい患者様のインプラント症例
| 治療名称 |
- |
| 治療費用 |
- |
| 治療期間 |
- |
| 患者さんの症状(主訴) |
- |
| 治療内容 |
- |
| 治療結果 |
- |
| 治療の注意点(リスク/副作用) |
- |
全体的に治療したい患者様のインプラント症例
| 治療名称 |
インプラント |
| 治療費用 |
106万円+税 |
| 治療期間 |
3か月 |
| 患者さんの症状(主訴) |
全体的に治療したい。 |
| 治療内容 |
抜歯即時インプラント |
| 治療結果 |
しっかり噛める。力が出る。 |
| 治療の注意点(リスク/副作用) |
インプラントが壊れたら再治療が必要 |
前歯が揺れている患者様のインプラント症例
| 治療名称 |
インプラント |
| 治療費用 |
53万円+税 |
| 治療期間 |
3か月 |
| 患者さんの症状(主訴) |
前歯が揺れている。 |
| 治療内容 |
抜歯即時インプラント |
| 治療結果 |
自分の歯みたい。どれがインプラントか分からない。仕上がりにとても満足している。 |
| 治療の注意点(リスク/副作用) |
インプラントが壊れたら再治療が必要 |
左下の歯が痛い患者様のインプラント症例
| 治療名称 |
インプラント |
| 治療費用 |
106万円+税 |
| 治療期間 |
3か月 |
| 患者さんの症状(主訴) |
左下の歯が痛い。 |
| 治療内容 |
抜歯即時インプラント |
| 治療結果 |
前より左側でしっかり噛めるので食事がおいしい。右側が疲れない。 |
| 治療の注意点(リスク/副作用) |
インプラントが壊れたら再治療が必要 |
左上の歯が揺れてそこで噛むと痛い患者様のインプラント症例
| 治療名称 |
インプラント |
| 治療費用 |
144万円+税 |
| 治療期間 |
3か月 |
| 患者さんの症状(主訴) |
左上の歯が揺れてそこで噛むと痛い。 |
| 治療内容 |
抜歯即時インプラント |
| 治療結果 |
しっかり噛める。顔のゆがみがなくなってきた気がする。 |
| 治療の注意点(リスク/副作用) |
インプラントが壊れたら再治療が必要 |
歯が揺れて痛い患者様のインプラント症例
| 治療名称 |
インプラント |
| 治療費用 |
144万円+税 |
| 治療期間 |
4か月 |
| 患者さんの症状(主訴) |
歯が揺れている。痛い。 |
| 治療内容 |
抜歯即時インプラント |
| 治療結果 |
痛み無くしっかり噛める。 |
| 治療の注意点(リスク/副作用) |
インプラントが壊れたら再治療が必要 |
上の前歯が揺れている患者様のインプラント症例
| 治療名称 |
インプラント |
| 治療費用 |
111万円+税 |
| 治療期間 |
4か月 |
| 患者さんの症状(主訴) |
上の前歯が揺れている。 |
| 治療内容 |
抜歯即時インプラント |
| 治療結果 |
しっかり噛めるし、自分の歯だった時よりも断然きれいなのはうれしい。 |
| 治療の注意点(リスク/副作用) |
インプラントが壊れたら再治療が必要 |
左下の歯が痛い患者様のインプラント症例
| 治療名称 |
インプラント |
| 治療費用 |
53万円+税 |
| 治療期間 |
3か月 |
| 患者さんの症状(主訴) |
左下の歯が痛い。 |
| 治療内容 |
抜歯即時インプラント |
| 治療結果 |
自分の歯のようにしっかり噛める。 |
| 治療の注意点(リスク/副作用) |
インプラントが壊れたら再治療が必要 |
右上の歯が痛い患者様のインプラント症例
| 治療名称 |
インプラント |
| 治療費用 |
48万円+税 |
| 治療期間 |
3か月 |
| 患者さんの症状(主訴) |
右上の歯が痛い。 |
| 治療内容 |
抜歯即時インプラント |
| 治療結果 |
自分の歯と区別がつかない。しっかり噛める。 |
| 治療の注意点(リスク/副作用) |
インプラントが壊れたら再治療が必要 |
全体的に治療したい患者様のインプラント症例
| 治療名称 |
インプラント |
| 治療費用 |
308万円+税 |
| 治療期間 |
6か月 |
| 患者さんの症状(主訴) |
全体的に治療したい。 |
| 治療内容 |
サイナスリフト 抜歯即時インプラント |
| 治療結果 |
しっかり噛める。見た目も大満足。 |
| 治療の注意点(リスク/副作用) |
インプラントが壊れたら再治療が必要 |
全体的に治療したい患者様のインプラント症例
| 治療名称 |
インプラント |
| 治療費用 |
308万円+税 |
| 治療期間 |
6か月 |
| 患者さんの症状(主訴) |
全体的に治療したい。 |
| 治療内容 |
サイナスリフト 抜歯即時インプラント |
| 治療結果 |
しっかり噛める。見た目も大満足。 |
| 治療の注意点(リスク/副作用) |
インプラントが壊れたら再治療が必要 |
右下の歯が痛い患者様のインプラント症例
| 治療名称 |
インプラント |
| 治療費用 |
68万円+税 |
| 治療期間 |
5か月 |
| 患者さんの症状(主訴) |
右下の歯が痛い。 |
| 治療内容 |
サイナスリフト インプラント |
| 治療結果 |
しっかり噛める。見た目も大満足。 |
| 治療の注意点(リスク/副作用) |
インプラントが壊れたら再治療が必要 |
右上の歯の治療したい患者様のインプラント症例
| 治療名称 |
インプラント |
| 治療費用 |
106万円+税 |
| 治療期間 |
5か月 |
| 患者さんの症状(主訴) |
右上の歯の治療したい。 |
| 治療内容 |
抜歯即時インプラント |
| 治療結果 |
しっかり噛めることに満足している。 |
| 治療の注意点(リスク/副作用) |
インプラントが壊れたら再治療が必要 |
奥歯で噛めない患者様のインプラント症例
| 治療名称 |
インプラント |
| 治療費用 |
250万円+税 |
| 治療期間 |
5か月 |
| 患者さんの症状(主訴) |
奥歯で噛めない。 |
| 治療内容 |
ソケットリフト 抜歯即時インプラント |
| 治療結果 |
何でも噛めるのでやってよかった。 |
| 治療の注意点(リスク/副作用) |
インプラントが壊れたら再治療が必要 |
歯のないところの治療をしたい患者様のインプラント症例
| 治療名称 |
インプラント |
| 治療費用 |
100万円+税 |
| 治療期間 |
4か月 |
| 患者さんの症状(主訴) |
歯のないところの治療をしたい。 |
| 治療内容 |
抜歯即時インプラント |
| 治療結果 |
噛めるようになったので良かった。 |
| 治療の注意点(リスク/副作用) |
インプラントが壊れたら再治療が必要 |
奥歯で噛めない患者様のインプラント症例
| 治療名称 |
インプラント |
| 治療費用 |
230万円+税 |
| 治療期間 |
6か月 |
| 患者さんの症状(主訴) |
奥歯で噛めない。 |
| 治療内容 |
ソケットリフト インプラント |
| 治療結果 |
お肉でもお魚でもなんでも食べれるようになったのでやって良かった。 |
| 治療の注意点(リスク/副作用) |
インプラントが壊れたら再治療が必要 |
歯のないところにインプラント治療をしたい患者様のインプラント症例
| 治療名称 |
インプラント |
| 治療費用 |
150万円+税 |
| 治療期間 |
4か月 |
| 患者さんの症状(主訴) |
歯のないところにインプラント治療をしたい。 |
| 治療内容 |
抜歯即時インプラント |
| 治療結果 |
本物の歯と区別がつかないので、前歯のインプラントは特にうれしい。 |
| 治療の注意点(リスク/副作用) |
インプラントが壊れたら再治療が必要 |
上の前歯が痛い患者様のインプラント症例
| 治療名称 |
インプラント |
| 治療費用 |
53万円+税 |
| 治療期間 |
4か月 |
| 患者さんの症状(主訴) |
上の前歯が痛い。 |
| 治療内容 |
抜歯即時インプラント |
| 治療結果 |
ここまでの仕上がりと思わなかった。自分の歯と区別がつかない。 |
| 治療の注意点(リスク/副作用) |
インプラントが壊れたら再治療が必要 |
奥歯で噛めない患者様のインプラント症例
| 治療名称 |
インプラント |
| 治療費用 |
120万円+税 |
| 治療期間 |
6か月 |
| 患者さんの症状(主訴) |
奥歯で噛めない。 |
| 治療内容 |
サイナスリフト インプラント |
| 治療結果 |
何でも噛めるのでやってよかった。こんなに(手術が)楽だとは思わなかった。 |
| 治療の注意点(リスク/副作用) |
インプラントが壊れたら再治療が必要 |
右下の歯が痛い/歯茎が腫れている患者様のインプラント症例
| 治療名称 |
インプラント |
| 治療費用 |
106万円+税 |
| 治療期間 |
4か月 |
| 患者さんの症状(主訴) |
右下の歯が痛い。歯茎が腫れている。 |
| 治療内容 |
抜歯即時インプラント |
| 治療結果 |
噛めるようになって一安心。 |
| 治療の注意点(リスク/副作用) |
インプラントが壊れたら再治療が必要 |
左上の歯が痛い患者様のインプラント症例
| 治療名称 |
インプラント |
| 治療費用 |
106万円+税 |
| 治療期間 |
5か月 |
| 患者さんの症状(主訴) |
左上の歯が痛い。 |
| 治療内容 |
抜歯即時インプラント |
| 治療結果 |
何でも噛めるのでやってよかった。、まったく腫れず、痛みもなかった。世間で言われているのとまったく違う。 |
| 治療の注意点(リスク/副作用) |
インプラントが壊れたら再治療が必要 |
検診を受けたい患者様のインプラント症例
| 治療名称 |
インプラント |
| 治療費用 |
48万円+税 |
| 治療期間 |
3か月 |
| 患者さんの症状(主訴) |
検診を受けたい。 |
| 治療内容 |
抜歯即時インプラント |
| 治療結果 |
力が入るようになった。奥に歯がある大切さがわかった。 |
| 治療の注意点(リスク/副作用) |
インプラントが壊れたら再治療が必要 |
左上のインプラントが揺れている患者様のインプラント症例
| 治療名称 |
インプラント |
| 治療費用 |
96万円+税 |
| 治療期間 |
5か月 |
| 患者さんの症状(主訴) |
左上のインプラントが揺れている。一個手前の歯も揺れている。 |
| 治療内容 |
抜歯即時インプラント |
| 治療結果 |
前の歯医者でインプラントしたときはとても時間がかかったし、痛みが強かった。今回は全然違った。痛みも少なく、腫れなかった。専門医は違うんですね。 |
| 治療の注意点(リスク/副作用) |
インプラントが壊れたら再治療が必要 |
歯のないところの治療をしたい患者様のインプラント症例
| 治療名称 |
インプラント |
| 治療費用 |
48万円+税 |
| 治療期間 |
5か月 |
| 患者さんの症状(主訴) |
歯のないところの治療をしたい。 |
| 治療内容 |
インプラント |
| 治療結果 |
しっかり噛むことができる。痛みも腫れも全くなかった。手術が10分で終わったのは驚いた。 |
| 治療の注意点(リスク/副作用) |
インプラントが壊れたら再治療が必要 |
左下の歯が痛くて噛めない患者様のインプラント症例
| 治療名称 |
インプラント |
| 治療費用 |
96万円+税 |
| 治療期間 |
4か月 |
| 患者さんの症状(主訴) |
左下の歯が痛くて噛めない。 |
| 治療内容 |
インプラント |
| 治療結果 |
ここまで自分の歯のように噛めるとは思わなかった。 |
| 治療の注意点(リスク/副作用) |
インプラントが壊れたら再治療が必要 |
右下の歯が痛い患者様のインプラント症例
| 治療名称 |
インプラント |
| 治療費用 |
170万円+税 |
| 治療期間 |
5か月 |
| 患者さんの症状(主訴) |
右下の歯が痛い。 |
| 治療内容 |
サイナスリフト 抜歯即時インプラント |
| 治療結果 |
今は両方でしっかりかめるのでうれしい。右上も今の歯が割れたらぜひお願いしたい。 |
| 治療の注意点(リスク/副作用) |
インプラントが壊れたら再治療が必要 |
右上の歯が折れたと思うから診てほしい患者様のインプラント症例
| 治療名称 |
インプラント |
| 治療費用 |
120万円+税 |
| 治療期間 |
5か月 |
| 患者さんの症状(主訴) |
右上の歯が折れたと思うから診てほしい。 |
| 治療内容 |
サイナスリフト インプラント |
| 治療結果 |
入れ歯を覚悟したが、インプラント治療があって良かった。不自由なく噛めるし、ご飯が食べられる。 |
| 治療の注意点(リスク/副作用) |
インプラントが壊れたら再治療が必要 |
右下の歯が痛い気がする患者様のインプラント症例
| 治療名称 |
インプラント |
| 治療費用 |
48万円+税 |
| 治療期間 |
5か月 |
| 患者さんの症状(主訴) |
右下の歯が痛い気がする。 |
| 治療内容 |
インプラント |
| 治療結果 |
痛みなく今まで通り噛めるのでやってよかった。 |
| 治療の注意点(リスク/副作用) |
インプラントが壊れたら再治療が必要 |
歯の隙間を埋めたい患者様のインプラント症例
| 治療名称 |
インプラント |
| 治療費用 |
48万円+税 |
| 治療期間 |
3か月 |
| 患者さんの症状(主訴) |
歯の隙間を埋めたい。 |
| 治療内容 |
インプラント |
| 治療結果 |
見た目が良くなったのでうれしい。費用をかけた甲斐があって良かった。 |
| 治療の注意点(リスク/副作用) |
インプラントが壊れたら再治療が必要 |
上の前歯が痛い患者様のインプラント症例
| 治療名称 |
インプラント |
| 治療費用 |
48万円+税 |
| 治療期間 |
4か月 |
| 患者さんの症状(主訴) |
上の前歯が痛い。 |
| 治療内容 |
インプラント |
| 治療結果 |
歯の痛みがなくなって、前より見栄えが良くなって良かったです。 |
| 治療の注意点(リスク/副作用) |
インプラントが壊れたら再治療が必要 |
前の歯医者で歯をいっぱい抜かれてしまった患者様のインプラント症例
| 治療名称 |
インプラント |
| 治療費用 |
270万円+税 |
| 治療期間 |
6か月 |
| 患者さんの症状(主訴) |
前の歯医者で歯をいっぱい抜かれてしまった。インプラントをいっぱいやっているところにかかりたかった。 |
| 治療内容 |
インプラント |
| 治療結果 |
特に違和感なく使えている。歯があったときと同じように噛める。 |
| 治療の注意点(リスク/副作用) |
インプラントが壊れたら再治療が必要 |
かぶせてある歯が取れた患者様のインプラント症例
| 治療名称 |
インプラント |
| 治療費用 |
96万円+税 |
| 治療期間 |
3か月 |
| 患者さんの症状(主訴) |
かぶせてある歯が取れた。 |
| 治療内容 |
インプラント |
| 治療結果 |
前と違って、不安なく噛めるし、手術があっという間に終わったことにびっくりしている。腫れないし、痛みないし、やってよかった。 |
| 治療の注意点(リスク/副作用) |
インプラントが壊れたら再治療が必要 |
左下の歯が時々痛む患者様のインプラント症例
| 治療名称 |
インプラント |
| 治療費用 |
96万円+税 |
| 治療期間 |
4か月 |
| 患者さんの症状(主訴) |
左下の歯が時々痛む。 |
| 治療内容 |
抜歯即時インプラント |
| 治療結果 |
手術があっという間に終わった。痛みもさほど出なかった。びっくりした。 |
| 治療の注意点(リスク/副作用) |
インプラントが壊れたら再治療が必要 |
上の前歯がグラグラする患者様のインプラント症例
| 治療名称 |
インプラント |
| 治療費用 |
144万円+税 |
| 治療期間 |
5か月 |
| 患者さんの症状(主訴) |
上の前歯がグラグラする。左下の歯も揺れている。 |
| 治療内容 |
抜歯即時インプラント |
| 治療結果 |
どれが自分の歯かわからない。しっかり噛めるしやって良かった。 |
| 治療の注意点(リスク/副作用) |
インプラントが壊れたら再治療が必要 |
奥にインプラント入れたい患者様のインプラント症例
| 治療名称 |
インプラント |
| 治療費用 |
48万円+税 |
| 治療期間 |
3か月 |
| 患者さんの症状(主訴) |
奥にインプラント入れたい。 |
| 治療内容 |
フラップレスインプラント |
| 治療結果 |
びっくりするほど早く手術が終わった。痛みもなく、歯が入ってからもしっかり噛めるし、今のところ全く問題ない。 |
| 治療の注意点(リスク/副作用) |
インプラントが壊れたら再治療が必要 |
ブリッジをやめたい患者様のインプラント症例
| 治療名称 |
インプラント |
| 治療費用 |
48万円+税 |
| 治療期間 |
3か月 |
| 患者さんの症状(主訴) |
ブリッジをやめたい。物が詰まる。支えている歯に負担がかかっているような気がする。 |
| 治療内容 |
フラップレスインプラント |
| 治療結果 |
手術はとても楽だった。腫れないし、痛みもない。ここを選んでよかった。 |
| 治療の注意点(リスク/副作用) |
インプラントが壊れたら再治療が必要 |
ブリッジからインプラントに変えたい患者様のインプラント症例
| 治療名称 |
インプラント |
| 治療費用 |
48万円+税 |
| 治療期間 |
3か月 |
| 患者さんの症状(主訴) |
ブリッジからインプラントに変えたい。 |
| 治療内容 |
フラップレスインプラント |
| 治療結果 |
とてもよく噛めるし、お手入れも楽。手術が怖いイメージだったけど、これならもっと早くやっていればよかった。 |
| 治療の注意点(リスク/副作用) |
インプラントが壊れたら再治療が必要 |
ブリッジの下に物が詰まってしようがない患者様のインプラント症例
| 治療名称 |
インプラント |
| 治療費用 |
200万円+税 |
| 治療期間 |
3か月 |
| 患者さんの症状(主訴) |
ブリッジの下に物が詰まってしようがない。 |
| 治療内容 |
抜歯即時インプラント |
| 治療結果 |
お手入れが快適になった。口臭がしなくなった気がする。 |
| 治療の注意点(リスク/副作用) |
インプラントが壊れたら再治療が必要 |
右下の歯の治療がしたい患者様のインプラント症例
| 治療名称 |
インプラント |
| 治療費用 |
53万円+税 |
| 治療期間 |
4か月 |
| 患者さんの症状(主訴) |
右下の歯の治療がしたい。 |
| 治療内容 |
抜歯即時インプラント |
| 治療結果 |
しっかり噛めるのがうれしい。手術は拍子抜けするほど楽だった。前日までの緊張はなんだったのか。 |
| 治療の注意点(リスク/副作用) |
インプラントが壊れたら再治療が必要 |
右下にインプラントを入れたい患者様のインプラント症例
| 治療名称 |
インプラント |
| 治療費用 |
48万円+税 |
| 治療期間 |
6か月 |
| 患者さんの症状(主訴) |
右下にインプラントを入れたい。 |
| 治療内容 |
フラップレスインプラント |
| 治療結果 |
手術がとても楽だった。ゴトゴトする振動はあったけど、べつに痛みもないしすぐ終わったのでインプラントのイメージが変わった。 |
| 治療の注意点(リスク/副作用) |
インプラントが壊れたら再治療が必要 |
右下に歯を入れたい患者様のインプラント症例
| 治療名称 |
インプラント |
| 治療費用 |
48万円+税 |
| 治療期間 |
3か月 |
| 患者さんの症状(主訴) |
右下に歯を入れたい。 |
| 治療内容 |
フラップレスインプラント |
| 治療結果 |
めちゃくちゃ楽だった。別の歯医者いった友達は結構痛くて腫れたと言っていたけど、これは腕の差なのか? |
| 治療の注意点(リスク/副作用) |
インプラントが壊れたら再治療が必要 |
歯のないところにインプラント治療をしたい患者様のインプラント症例
| 治療名称 |
インプラント |
| 治療費用 |
150万円+税 |
| 治療期間 |
4か月 |
| 患者さんの症状(主訴) |
歯のないところにインプラント治療をしたい。 |
| 治療内容 |
抜歯即時インプラント |
| 治療結果 |
本物の歯と区別がつかないので、前歯のインプラントは特にうれしい。 |
| 治療の注意点(リスク/副作用) |
インプラントが壊れたら再治療が必要 |
歯のないところの治療をしたい患者様のインプラント症例
| 治療名称 |
インプラント |
| 治療費用 |
48万円+税 |
| 治療期間 |
3か月 |
| 患者さんの症状(主訴) |
歯のないところの治療をしたい。 |
| 治療内容 |
インプラント |
| 治療結果 |
自分の歯がよみがえったみたい。手術も腫れないし、痛くないし、次もし他の歯がだめになったらお金貯めて絶対インプラントにする。 |
| 治療の注意点(リスク/副作用) |
インプラントが壊れたら再治療が必要 |
歯が割れた患者様のインプラント症例
| 治療名称 |
インプラント |
| 治療費用 |
48万円+税 |
| 治療期間 |
4か月 |
| 患者さんの症状(主訴) |
歯が割れたと思う。今回も先生にインプラントをやってもらいたい。 |
| 治療内容 |
インプラント |
| 治療結果 |
前と変わらず、あっという間の処置だった。周りでインプラントで困っている人いるから先生のところ紹介していい? |
| 治療の注意点(リスク/副作用) |
インプラントが壊れたら再治療が必要 |
左下の歯が痛い患者様のインプラント症例
| 治療名称 |
インプラント |
| 治療費用 |
53万円+税 |
| 治療期間 |
4か月 |
| 患者さんの症状(主訴) |
左下の歯が痛い。 |
| 治療内容 |
抜歯即時インプラント |
| 治療結果 |
自分の歯と何も変わらないのがうれしい。しっかり噛める。処置も楽だった。歯を抜いたと同時に入れるやり方があるなんて知らなかった。 |
| 治療の注意点(リスク/副作用) |
インプラントが壊れたら再治療が必要 |
歯が揺れてきているお子様のインプラント症例
| 治療名称 |
インプラント |
| 治療費用 |
48万円+税 |
| 治療期間 |
3か月 |
| 患者さんの症状(主訴) |
子供の歯が揺れてきていて、もうダメだと思う。 |
| 治療内容 |
抜歯即時インプラント |
| 治療結果 |
前のように、恐る恐る噛まなくていいのがとても楽。インプラントにして良かった。 |
| 治療の注意点(リスク/副作用) |
インプラントが壊れたら再治療が必要 |
歯のないところにインプラント治療をしたい患者様のインプラント症例
| 治療名称 |
- |
| 治療費用 |
- |
| 治療期間 |
- |
| 患者さんの症状(主訴) |
- |
| 治療内容 |
- |
| 治療結果 |
- |
| 治療の注意点(リスク/副作用) |
- |
左下の歯が痛い患者様のインプラント症例
| 治療名称 |
インプラント |
| 治療費用 |
111万円+税 |
| 治療期間 |
4か月 |
| 患者さんの症状(主訴) |
左下の歯が痛い。 |
| 治療内容 |
ソケットリフト インプラント |
| 治療結果 |
痛みもなく、腫れもなく、とても楽だった。 |
| 治療の注意点(リスク/副作用) |
インプラントが壊れたら再治療が必要 |
左下の歯が痛い患者様のインプラント症例
| 治療名称 |
インプラント |
| 治療費用 |
53万円+税 |
| 治療期間 |
4か月 |
| 患者さんの症状(主訴) |
左下の歯が痛い。 |
| 治療内容 |
抜歯即時インプラント |
| 治療結果 |
手術がとても早かったのでびっくりした。右上のだめになってしまった歯のお願いもしたい。 |
| 治療の注意点(リスク/副作用) |
インプラントが壊れたら再治療が必要 |
右上の歯が取れた患者様のインプラント症例
| 治療名称 |
インプラント |
| 治療費用 |
53万円+税 |
| 治療期間 |
3か月 |
| 患者さんの症状(主訴) |
右上の歯が取れた。 |
| 治療内容 |
抜歯即時インプラント |
| 治療結果 |
あっという間に終わっちゃった。歯が入ってからも快適に過ごしている。 |
| 治療の注意点(リスク/副作用) |
インプラントが壊れたら再治療が必要 |
右下の歯が痛い患者様のインプラント症例
| 治療名称 |
インプラント |
| 治療費用 |
53万円+税 |
| 治療期間 |
4か月 |
| 患者さんの症状(主訴) |
右下の歯が痛い。 |
| 治療内容 |
抜歯即時インプラント |
| 治療結果 |
歯を抜いたと同時に入れるやり方があるんだね。一回で手術が終わったからよかった。 |
| 治療の注意点(リスク/副作用) |
インプラントが壊れたら再治療が必要 |
歯が揺れいているお子様のインプラント症例
| 治療名称 |
インプラント |
| 治療費用 |
53万円+税 |
| 治療期間 |
3か月 |
| 患者さんの症状(主訴) |
子供の歯が揺れいている。 |
| 治療内容 |
抜歯即時インプラント |
| 治療結果 |
手術が早くてちゃんとやってるのかと思った(笑)。非常に楽でした。 |
| 治療の注意点(リスク/副作用) |
インプラントが壊れたら再治療が必要 |
左上の歯が痛い患者様のインプラント症例
| 治療名称 |
インプラント |
| 治療費用 |
53万円+税 |
| 治療期間 |
4か月 |
| 患者さんの症状(主訴) |
左上の歯が痛い。 |
| 治療内容 |
抜歯即時インプラント |
| 治療結果 |
歯を抜くのと同時に入れるやり方があるんですね。腫れないし、とても楽でした。 |
| 治療の注意点(リスク/副作用) |
インプラントが壊れたら再治療が必要 |
左の下に歯を入れたい患者様のインプラント症例
| 治療名称 |
インプラント |
| 治療費用 |
48万円+税 |
| 治療期間 |
3か月 |
| 患者さんの症状(主訴) |
左の下に歯を入れたい。 |
| 治療内容 |
フラップレス手術、インプラント |
| 治療結果 |
とても処置が早くて驚いた。歯茎を切らないやり方もあるんですね。腫れないし、痛みもないし、びっくりしました。 |
| 治療の注意点(リスク/副作用) |
インプラントが壊れたら再治療が必要 |
右上の歯が痛い患者様のインプラント症例
| 治療名称 |
インプラント |
| 治療費用 |
48万円+税 |
| 治療期間 |
3か月 |
| 患者さんの症状(主訴) |
右上の歯が痛い。 |
| 治療内容 |
抜歯即時インプラント |
| 治療結果 |
痛みも少なく、腫れもなく、思ったより全然楽でした。歯の仕上がりもとても満足。 |
| 治療の注意点(リスク/副作用) |
インプラントが壊れたら再治療が必要 |
上の前歯の根元が噛むと痛い患者様のインプラント症例
| 治療名称 |
インプラント |
| 治療費用 |
53万円+税 |
| 治療期間 |
4か月 |
| 患者さんの症状(主訴) |
上の前歯の根元が噛むと痛い。 |
| 治療内容 |
抜歯即時インプラント |
| 治療結果 |
見ためにとても満足している。きれいな歯をいれていただいてとてもうれしい。 |
| 治療の注意点(リスク/副作用) |
インプラントが壊れたら再治療が必要 |
右下の歯が痛い患者様のインプラント症例
| 治療名称 |
インプラント |
| 治療費用 |
53万円+税 |
| 治療期間 |
4か月 |
| 患者さんの症状(主訴) |
右下の歯が痛い。 |
| 治療内容 |
抜歯即時インプラント |
| 治療結果 |
歯を抜いたと同時にインプラントを入れるやり方があるのを知らなかった。他の歯医者だと1年かかるといわれた。 |
| 治療の注意点(リスク/副作用) |
インプラントが壊れたら再治療が必要 |
右上の歯が痛い患者様のインプラント症例
| 治療名称 |
インプラント |
| 治療費用 |
53万円+税 |
| 治療期間 |
4か月 |
| 患者さんの症状(主訴) |
右上の歯が痛い。 |
| 治療内容 |
抜歯即時インプラント |
| 治療結果 |
しっかり噛めてとても満足。手術も楽だった。むしろ根っこの治療の方が長くて疲れます。 |
| 治療の注意点(リスク/副作用) |
インプラントが壊れたら再治療が必要 |
何度もすぐ取れて高い治療ばかり勧められて嫌になった患者様のインプラント症例
| 治療名称 |
インプラント |
| 治療費用 |
53万円+税 |
| 治療期間 |
4か月 |
| 患者さんの症状(主訴) |
下の前歯が前の歯医者でやり直したんだけど、何度もすぐ取れて高い治療ばかり勧められて嫌になった。知り合いの先生の紹介で来ました。治療をお願いします。 |
| 治療内容 |
抜歯即時インプラント |
| 治療結果 |
まったく腫れないし、こんなことがあるんですね。びっくりです。 |
| 治療の注意点(リスク/副作用) |
インプラントが壊れたら再治療が必要 |
右下の歯が折れた患者様のインプラント症例
| 治療名称 |
インプラント |
| 治療費用 |
53万円+税 |
| 治療期間 |
4か月 |
| 患者さんの症状(主訴) |
右下の歯が折れたと思う。食事していて急にズキッとなった。 |
| 治療内容 |
抜歯即時インプラント |
| 治療結果 |
今までインプラント専門のところで治療を受けてきたけど、手術時間も2時間ぐらいかかって、痛いし腫れました。ここは全然違うんですね。びっくりです。 |
| 治療の注意点(リスク/副作用) |
インプラントが壊れたら再治療が必要 |
左下の歯が痛い患者様のインプラント症例
| 治療名称 |
インプラント |
| 治療費用 |
53万円+税 |
| 治療期間 |
4か月 |
| 患者さんの症状(主訴) |
左下の歯が痛い。 |
| 治療内容 |
抜歯即時インプラント |
| 治療結果 |
結構長いこと悩んでいた歯だったので、思い切ってよかった。かかりつけの先生に聞いてここを紹介されたけど、本当良かったです。。 |
| 治療の注意点(リスク/副作用) |
インプラントが壊れたら再治療が必要 |
左下に歯を入れたい患者様のインプラント症例
| 治療名称 |
インプラント |
| 治療費用 |
48万円+税 |
| 治療期間 |
3か月 |
| 患者さんの症状(主訴) |
左下に歯を入れたい。ブリッジは嫌だ。 |
| 治療内容 |
インプラント |
| 治療結果 |
とても手術が楽でした。あんなに早く終わるんですね。 |
| 治療の注意点(リスク/副作用) |
インプラントが壊れたら再治療が必要 |
左下の歯が痛い患者様のインプラント症例
| 治療名称 |
インプラント |
| 治療費用 |
53万円+税 |
| 治療期間 |
4か月 |
| 患者さんの症状(主訴) |
左下の歯が痛い。 |
| 治療内容 |
抜歯即時インプラント |
| 治療結果 |
あっという間に手術が終わったのでびっくりしている。 |
| 治療の注意点(リスク/副作用) |
インプラントが壊れたら再治療が必要 |
左の上に歯を入れたい患者様のインプラント症例
| 治療名称 |
インプラント |
| 治療費用 |
48万円+税 |
| 治療期間 |
3か月 |
| 患者さんの症状(主訴) |
左の上に歯を入れたい。 |
| 治療内容 |
インプラント |
| 治療結果 |
とても楽でした。世間でいうインプラント全然違うんですね。 |
| 治療の注意点(リスク/副作用) |
インプラントが壊れたら再治療が必要 |
子供の歯を何とかしたい患者様のインプラント症例
| 治療名称 |
インプラント |
| 治療費用 |
53万円+税 |
| 治療期間 |
4か月 |
| 患者さんの症状(主訴) |
子供の歯を何とかしたい。 |
| 治療内容 |
抜歯即時インプラント |
| 治療結果 |
しっかり噛めるのでやって良かった。見た目も自分の歯みたいでとても満足している。 |
| 治療の注意点(リスク/副作用) |
インプラントが壊れたら再治療が必要 |
左下の歯が揺れている患者様のインプラント症例
| 治療名称 |
インプラント |
| 治療費用 |
101万円+税 |
| 治療期間 |
4か月 |
| 患者さんの症状(主訴) |
左下の歯が揺れている。 |
| 治療内容 |
インプラント |
| 治療結果 |
こんなに(手術が)楽だとは思いませんでした。紹介で来ましたが、やっぱり医者の紹介が一番ですね。 |
| 治療の注意点(リスク/副作用) |
インプラントが壊れたら再治療が必要 |
左下の歯が時々痛む患者様のインプラント症例
| 治療名称 |
インプラント |
| 治療費用 |
96万円+税 |
| 治療期間 |
4か月 |
| 患者さんの症状(主訴) |
左下の歯が時々痛む。 |
| 治療内容 |
抜歯即時インプラント |
| 治療結果 |
手術があっという間に終わった。痛みもさほど出なかった。びっくりした。 |
| 治療の注意点(リスク/副作用) |
インプラントが壊れたら再治療が必要 |
左下に歯を入れたい患者様のインプラント症例
| 治療名称 |
インプラント |
| 治療費用 |
48万円+税 |
| 治療期間 |
3か月 |
| 患者さんの症状(主訴) |
左下に歯を入れたい。 |
| 治療内容 |
インプラント |
| 治療結果 |
手術があっという間に終わった。痛みも腫れも少なかった。 |
| 治療の注意点(リスク/副作用) |
インプラントが壊れたら再治療が必要 |
上の前歯が痛い患者様のインプラント症例
| 治療名称 |
インプラント |
| 治療費用 |
53万円+税 |
| 治療期間 |
4か月 |
| 患者さんの症状(主訴) |
上の前歯が痛い。 |
| 治療内容 |
インプラント |
| 治療結果 |
自分の歯がまた生えてきたみたい。とてもうれしい。 |
| 治療の注意点(リスク/副作用) |
インプラントが壊れたら再治療が必要 |
右下の歯が揺れている患者様のインプラント症例
| 治療名称 |
インプラント |
| 治療費用 |
48万円+税 |
| 治療期間 |
3か月 |
| 患者さんの症状(主訴) |
右下の歯が揺れている。 |
| 治療内容 |
抜歯即時インプラント |
| 治療結果 |
しっかり噛めるし、何の問題もない。 |
| 治療の注意点(リスク/副作用) |
インプラントが壊れたら再治療が必要 |
歯のないところに歯を入れたい患者様のインプラント症例
| 治療名称 |
インプラント |
| 治療費用 |
106万円+税 |
| 治療期間 |
5か月 |
| 患者さんの症状(主訴) |
歯のないところに歯を入れたい。 |
| 治療内容 |
ソケットリフト インプラント |
| 治療結果 |
しっかり治療していただいて、ありがとうございます。メインテナンスもサボらずに通います。 |
| 治療の注意点(リスク/副作用) |
インプラントが壊れたら再治療が必要 |
左上に歯を入れたい患者様のインプラント症例
| 治療名称 |
インプラント |
| 治療費用 |
48万円+税 |
| 治療期間 |
3か月 |
| 患者さんの症状(主訴) |
左上に歯を入れたい。 |
| 治療内容 |
インプラント |
| 治療結果 |
手術も短時間で終わって、非常に楽でした。歯もきれいで大満足です。 |
| 治療の注意点(リスク/副作用) |
インプラントが壊れたら再治療が必要 |
左上の歯が痛い患者様のインプラント症例
| 治療名称 |
インプラント |
| 治療費用 |
53万円+税 |
| 治療期間 |
4か月 |
| 患者さんの症状(主訴) |
左上の歯が痛い。 |
| 治療内容 |
抜歯即時インプラント |
| 治療結果 |
手術は楽でした。インプラントのイメージが変わりました。 |
| 治療の注意点(リスク/副作用) |
インプラントが壊れたら再治療が必要 |
上の前歯から変な臭いがする患者様のインプラント症例
| 治療名称 |
インプラント |
| 治療費用 |
53万円+税 |
| 治療期間 |
4か月 |
| 患者さんの症状(主訴) |
上の前歯から変な臭いがする。 |
| 治療内容 |
抜歯即時インプラント |
| 治療結果 |
前歯なので心配していたけれど、自分の歯とまったく見分けがつかないのでとてもうれいしい。 |
| 治療の注意点(リスク/副作用) |
インプラントが壊れたら再治療が必要 |
左上の歯が痛い患者様のインプラント症例
| 治療名称 |
インプラント |
| 治療費用 |
73万円+税 |
| 治療期間 |
5か月 |
| 患者さんの症状(主訴) |
左上の歯が痛い。 |
| 治療内容 |
サイナスリフト 抜歯即時インプラント |
| 治療結果 |
骨がないので、前の歯医者で断られた。難しい症例だと言われたがここで対応してもらえてよかった。 |
| 治療の注意点(リスク/副作用) |
インプラントが壊れたら再治療が必要 |
右上に歯を入れたい患者様のインプラント症例
| 治療名称 |
インプラント |
| 治療費用 |
48万円+税 |
| 治療期間 |
4か月 |
| 患者さんの症状(主訴) |
右上に歯を入れたい。 |
| 治療内容 |
インプラント |
| 治療結果 |
めちゃくちゃ楽だった。びっくりした。手術だとは思えなかった。 |
| 治療の注意点(リスク/副作用) |
インプラントが壊れたら再治療が必要 |
痛いし腫れるし、結局根っこがくっつかなくて取れてきた患者様のインプラント症例
| 治療名称 |
インプラント |
| 治療費用 |
48万円+税 |
| 治療期間 |
4か月 |
| 患者さんの症状(主訴) |
前の歯医者でインプラントしてひどい目にあった。痛いし腫れるし長いし、結局根っこがくっつかなくて取れてきた。それで返金もしてくれない。 |
| 治療内容 |
インプラント |
| 治療結果 |
前の歯医者と全然違うのでびっくりした。手術は楽だし、噛めるし、みんなに教えてあげたい。 |
| 治療の注意点(リスク/副作用) |
インプラントが壊れたら再治療が必要 |
左上の歯が痛い患者様のインプラント症例
| 治療名称 |
インプラント |
| 治療費用 |
53万円+税 |
| 治療期間 |
4か月 |
| 患者さんの症状(主訴) |
左上の歯が痛い。 |
| 治療内容 |
抜歯即時インプラント |
| 治療結果 |
腫れなかったし、痛みも痛み止め飲んでいたいので全然問題なかった。今はしっかり噛めるので費用をかけただけあった。 |
| 治療の注意点(リスク/副作用) |
インプラントが壊れたら再治療が必要 |
歯のないところに歯を入れたい患者様のインプラント症例
| 治療名称 |
インプラント |
| 治療費用 |
106万円+税 |
| 治療期間 |
5か月 |
| 患者さんの症状(主訴) |
歯のないところに歯を入れたい。 |
| 治療内容 |
ソケットリフト インプラント |
| 治療結果 |
しっかり治療していただいて、ありがとうございます。メインテナンスもサボらずに通います。 |
| 治療の注意点(リスク/副作用) |
インプラントが壊れたら再治療が必要 |
歯のないところに歯を入れたい患者様のインプラント症例
| 治療名称 |
インプラント |
| 治療費用 |
58万円+税 |
| 治療期間 |
5か月 |
| 患者さんの症状(主訴) |
前の歯医者でここを紹介された。歯のないところに歯を入れたい。 |
| 治療内容 |
ソケットリフト インプラント |
| 治療結果 |
非常に難しいケースということで紹介されたが、手術自体は特につらくもなく、早く終わった。その後歯が入ってからはしっかり噛めるし、トラブルもないのであらいがたい。 |
| 治療の注意点(リスク/副作用) |
インプラントが壊れたら再治療が必要 |
新宿駅前サイナス歯科・矯正歯科のインプラント治療はこちらから
初診「個別」相談へのご案内
当院では、患者さんが抱えていらっしゃるお口のお悩みや疑問・不安などにお応えする機会を設けております。どんなことでも構いませんので、私たちにお話ししていただけたらと思います。
ご興味がある方は下記からお問い合わせください。
「新宿西口駅」直結 /「新宿駅」西口2分
03-5325-3172
- 診療時間 10:00~20:00
※火曜19:00、土曜17:00まで
- 休診日:水曜・日曜・祝日
このページの監修者
猪俣 謙次
経歴
| 歯学博士(東京医科歯科大学 顎口腔外科) |
| 日本大学歯学部付属歯科病院非常勤 |
| ストローマン、スプラインなどのインプラントコース修了 |
資格・所属学会・団体
- 日本口腔インプラント学会 専門医/指導医
- 国際口腔インプラント学会認定医
- ドライマウス学会認定医
- 顎顔面インプラント学会
- 日本口腔外科学会
- 一般社団法人インプラント再建歯学研究会 理事